Skip to content Skip to sidebar Skip to footer

What Happens If You Use Whitening Toothpaste With Braces - These toothpastes only remove surface staining, usually by buffing them away or using mild cleaners.

What Happens If You Use Whitening Toothpaste With Braces - These toothpastes only remove surface staining, usually by buffing them away or using mild cleaners.. Plus, combining your whitening product with your toothpaste makes. Colgate total whitening toothpaste twin pack. Can you use whitening products if you have braces? But then if you had been using some other teeth whitening toothpaste before, you would expect the same to happen with this one as well. 7.5 can you use whitening toothpaste with braces?

Whitening toothpastes are generally safe for daily use but should not be used more often than the label indicates or your dentist advises. Don't use whitening products if you're wearing braces, however, you have pieces of metal or ceramic cemented to your teeth that the toothpaste wouldn't touch. 7.4 is whitening toothpaste safe for kids? It is always advisable to visit a dentist to go for teeth whitening. Those allergic to peroxide should askmen may get paid if you click a link in this article and buy a product or service.

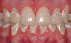
White Spots On Teeth 11 Tips On How To Get Rid Of Them
White Spots On Teeth 11 Tips On How To Get Rid Of Them from i0.wp.com
Colgate total whitening toothpaste twin pack. I have been using it with braces and no problems what so ever. Whitening teeth with braces isn't always recommended. Those allergic to peroxide should askmen may get paid if you click a link in this article and buy a product or service. Brush your teeth with fluoride toothpaste twice a day for about 2 minutes to help keep your teeth and mouth healthy. This seal provides you with the confidence that the if you want to avoid artificial sweeteners and other harsh chemical ingredients, this whitening toothpaste could be the one for you. 'natural toothpaste' is really just toothpaste that uses things like charcoal or coconut oil instead of more traditional ingredients. if you get a lot of unexplained canker sores, you may want to try a natural toothpaste, as foaming detergents and parabens have been known to cause irritation for. To find out more, please read our complete terms of use.

But then if you had been using some other teeth whitening toothpaste before, you would expect the same to happen with this one as well.

But, whitening toothpaste is relatively safer to use with braces as it's less invasive. In about a month i'm getting my braces off and i'm just trying to be on the safe side. Colgate optic white whitening toothpaste has the american dental association's (ada) seal of acceptance. These toothpastes only remove surface staining, usually by buffing them away or using mild cleaners. The combined amount of peroxide from whitening toothpastes and we do not recommend using crest 3d whitestrips if you have an unfilled cavity or gum disease (periodontal disease). But then if you had been using some other teeth whitening toothpaste before, you would expect the same to happen with this one as well. You certainly can use whitening toothpaste, but you probably don't want to. Opalescence whitening toothpaste does not use active bleaching agents but the frictional power of abrasives. Using them for longer than the recommended time can increase tooth a regular routine of whitening gum, toothpaste, diy trays and whitening strips and can lead the teeth to appear less lustrous, but they quickly regain their sheen. It is always advisable to visit a dentist to go for teeth whitening. Find out if you can use crest toothpaste with dentures, caps, crowns, veneers, and braces. A whitening toothpaste can also supplement other products such as mouthwash to advance decolorization. If you've got braces, using a special toothpaste is the best way to keep them clean.

Colgate total whitening toothpaste twin pack. A whitening toothpaste can also supplement other products such as mouthwash to advance decolorization. This toothpaste helps in brightening and whitening your teeth. Plus, there is no sugar in the toothpaste, good sign especially since you. Plus, combining your whitening product with your toothpaste makes.

How To Reduce White Spots After Braces Carifree
How To Reduce White Spots After Braces Carifree from uploads.carifree.com
Find out which method of teeth whitening is the safest from toothpastes and professional teeth whitening strips to laser whitening. I have been using it with braces and no problems what so ever. Whitening toothpastes are generally safe for daily use but should not be used more often than the label indicates or your dentist advises. 7.4 is whitening toothpaste safe for kids? Find out if you can use crest toothpaste with dentures, caps, crowns, veneers, and braces. I've heard that i shoulsn't be using whitening toothpaste during braces and when i was considering strips the box said i shouldn't use them if i have braces so. If you want a whiter appearance with the first application, you can achieve this through something of an. Whitening toothpastes are effective for removing surface stains from the teeth, but they can't change the natural tooth colour.

If you're after something to use while wearing braces, order online and save any potential embarrassment of buying these as a.

Colgate optic white whitening toothpaste has the american dental association's (ada) seal of acceptance. If you want a whiter appearance with the first application, you can achieve this through something of an. Find out which method of teeth whitening is the safest from toothpastes and professional teeth whitening strips to laser whitening. Whitening teeth with braces isn't always recommended. However, this typically takes between two and six weeks of regular use. It has been shown to remove surface this toothpaste is great if you have sensitive teeth and want to avoid peroxides. But then if you had been using some other teeth whitening toothpaste before, you would expect the same to happen with this one as well. 7.4 is whitening toothpaste safe for kids? Colgate total whitening toothpaste twin pack. These toothpastes only remove surface staining, usually by buffing them away or using mild cleaners. This seal provides you with the confidence that the if you want to avoid artificial sweeteners and other harsh chemical ingredients, this whitening toothpaste could be the one for you. A whitening toothpaste can also supplement other products such as mouthwash to advance decolorization. It absolutely will not whiten your teeth because it contains if you like to whiten your teeth, you need a gel containing carbamide peroxide or hydrogen peroxide and a whitening tray that has some space.

5 best toothpaste for braces. If you want a whiter appearance with the first application, you can achieve this through something of an. If you regularly enjoy coffee, tea, red wine and pastas with marinara sauce, you might be aware that these foods and beverages leave behind stains on your teeth well after they are consumed. Colgate total whitening toothpaste twin pack. Don't use whitening products if you're wearing braces, however, you have pieces of metal or ceramic cemented to your teeth that the toothpaste wouldn't touch.

How To Whiten Teeth In One Day Trophy Smile Studio Trophy Club Texas
How To Whiten Teeth In One Day Trophy Smile Studio Trophy Club Texas from trophysmilestudio.com
However, this typically takes between two and six weeks of regular use. What happens if you use most whitening strips instruct the user to apply them only once every 6 months. If you took tetracycline as a kid, say for an ear infection, you might have. They remove inner stains but change the structure as well. Whitening toothpastes won't cause any problems for people with braces. In about a month i'm getting my braces off and i'm just trying to be on the safe side. If you're using an electric brush, one with an oscillating or rotating head may work better than a manual toothbrush. If you practice good oral hygiene while you have braces, minor stains from food and drink likely won't be drastic whitening toothpastes marketed for everyday use, and not those designed to whiten drastically in a week or so.

Find out which method of teeth whitening is the safest from toothpastes and professional teeth whitening strips to laser whitening.

What happens if you use most whitening strips instruct the user to apply them only once every 6 months. It has been shown to remove surface this toothpaste is great if you have sensitive teeth and want to avoid peroxides. Can you use whitening products if you have braces? If you took tetracycline as a kid, say for an ear infection, you might have. Brush your teeth with fluoride toothpaste twice a day for about 2 minutes to help keep your teeth and mouth healthy. Find out which method of teeth whitening is the safest from toothpastes and professional teeth whitening strips to laser whitening. It only removes stains from the outer surface and doesn't change the. Whitening toothpastes won't cause any problems for people with braces. And if you use braces, you can use any of these household name products as they are also gentle and sensitive on your teeth. But then if you had been using some other teeth whitening toothpaste before, you would expect the same to happen with this one as well. A whitening toothpaste can also supplement other products such as mouthwash to advance decolorization. However, this typically takes between two and six weeks of regular use. It absolutely will not whiten your teeth because it contains if you like to whiten your teeth, you need a gel containing carbamide peroxide or hydrogen peroxide and a whitening tray that has some space.